First Counseling初診矯正相談
当院では初診矯正相談を無料で行っております。
歯列矯正治療に興味のある方は、お気軽にご利用ください。まだ、治療を始めるかどうか決めていない方でも不安や疑問をご相談ください。

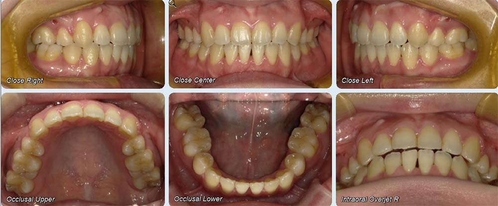
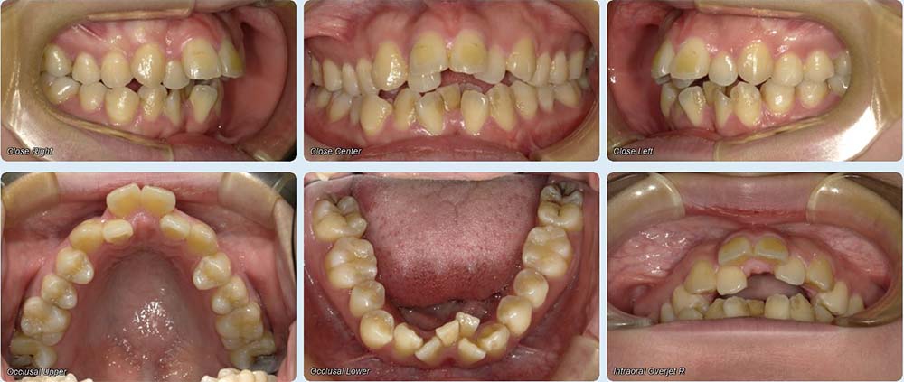
治療前
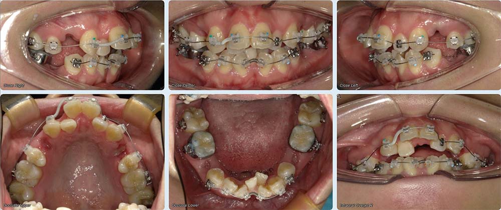
治療中
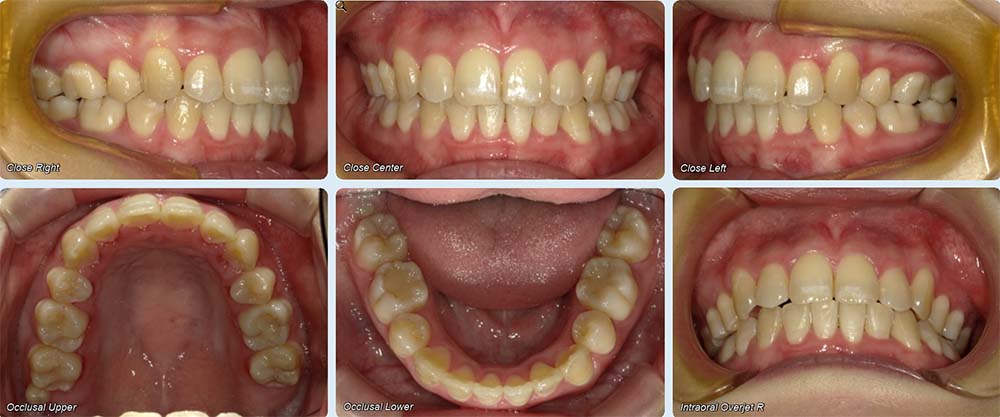
治療後
●主訴 |
ガタガタ、上の歯が出ている |
|---|---|
●年齢 |
30代女性 |
●症状 |
叢生を伴う上顎前突 |
●治療方針 |
抜歯空隙閉鎖 |
●抜歯部位 |
上顎左右4番抜歯 |
●治療装置 |
ハーフリンガル矯正(クリッピー) |
●治療期間 |
24ヶ月 |
●治療費 |
トータルフィー約123万(税込) |
●副作用 |
痛み・歯根吸収・歯髄壊死 |
歯のガタガタを主訴として来院されました。
抜歯することによりスペースをつくり、歯のガタガタを改善しています。
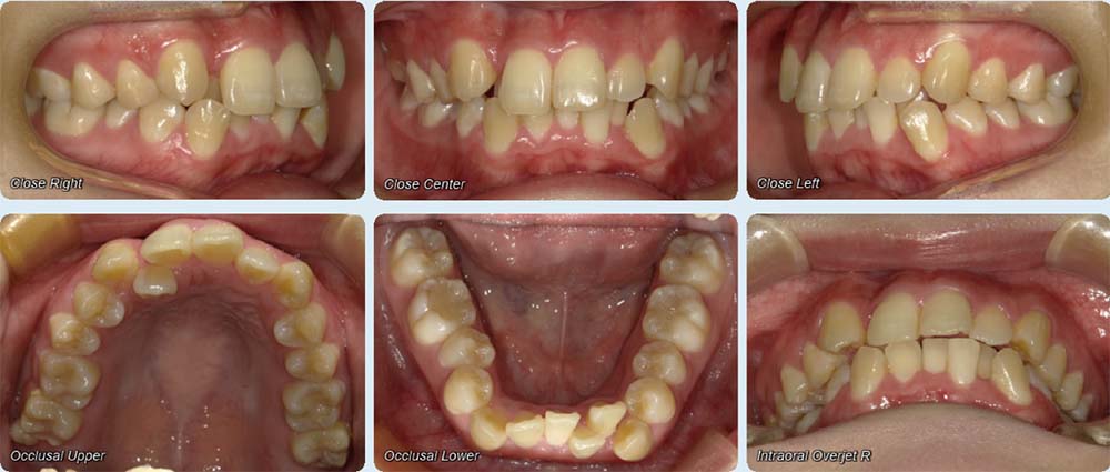
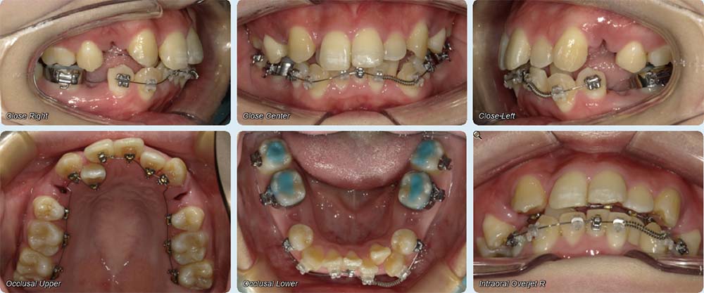
治療前
治療中
治療後
●主訴 |
ガタガタ、上の歯が出ている |
|---|---|
●年齢 |
20代女性 |
●症状 |
叢生 |
●治療方針 |
抜歯空隙閉鎖 |
●抜歯部位 |
上顎左右4番抜歯 左下5番抜歯 右下2欠損 |
●治療装置 |
ラビアル矯正(クリッピー) |
●治療期間 |
24ヶ月 |
●治療費 |
トータルフィー約98万(税込) |
●副作用 |
痛み・歯根吸収・歯髄壊死 |
歯のガタガタと上の歯が出ていることを主訴として来院されました。
抜歯することにより、スペースをつくり、上の前歯を後方に移動させて口元の改善を行っています。
治療前
治療中
治療後
●主訴 |
ガタガタ |
|---|---|
●年齢 |
30代男性 |
●症状 |
叢生 |
●治療方針 |
抜歯空隙閉鎖 |
●抜歯部位 |
上顎左右4番抜歯、下顎左右5番抜歯 |
●治療装置 |
ラビアル矯正(クリッピー) |
●治療期間 |
24ヶ月 |
●治療費 |
トータルフィー約108万(税込) |
●副作用 |
痛み・歯根吸収・歯髄壊死 |
歯のガタガタを主訴として来院されました。
抜歯することにより、スペースをつくり歯のガタガタの改善を行っております。
治療前
治療中
治療後
●主訴 |
ガタガタ、上の歯が出ている |
|---|---|
●年齢 |
20代女性 |
●症状 |
叢生を伴う上顎前突 |
●治療方針 |
抜歯空隙閉鎖 |
●抜歯部位 |
上顎左右4番抜歯 |
●治療装置 |
ラビアル矯正(クリッピー) |
●治療期間 |
26ヶ月 |
●治療費 |
トータルフィー約108万(税込) |
●副作用 |
痛み・歯根吸収・歯髄壊死 |
歯のガタガタと上の歯が出ていることを主訴として来院されました。
抜歯することにより、スペースをつくり、上の前歯を後方に移動させて口元の改善を行っています。
きれいな横顔になり、本人も満足されていました。
治療前
治療中
治療後
●主訴 |
ガタガタ |
|---|---|
●年齢 |
30代女性 |
●症状 |
叢生(ガタガタ) |
●治療方針 |
非抜歯 |
●抜歯部位 |
非抜歯 |
●治療装置 |
ハーフリンガル矯正(クリッピー) |
●治療期間 |
22ヶ月 |
●治療費 |
トータルフィー約123万(税込) |
●副作用 |
痛み・歯根吸収・歯髄壊死 |
歯のガタガタと奥歯のかみ合わせが気になるということで来院されました。
歯と歯の間をわずかに削合して非抜歯で治療をすすめています。
治療前
治療中
治療後
●主訴 |
ガタガタ、上の歯が出ている |
|---|---|
●年齢 |
20代女性 |
●症状 |
叢生を伴う上下顎前突 |
●治療方針 |
抜歯空隙閉鎖 |
●抜歯部位 |
上顎左右4番抜歯 下顎左右5番抜歯 |
●治療装置 |
ラビアル矯正(クリッピー) |
●治療期間 |
26ヶ月 |
●治療費 |
トータルフィー約108万(税込) |
●副作用 |
痛み・歯根吸収・歯髄壊死 |
歯のガタガタと上の歯が出ていることを主訴として来院されました。
抜歯することにより、スペースをつくり、上の前歯を後方に移動させて口元の改善を行っています。
治療前
治療中
治療後
●主訴 |
ガタガタ、上の歯が出ている |
|---|---|
●年齢 |
20代女性 |
●症状 |
叢生を伴う上顎前突 |
●治療方針 |
抜歯空隙閉鎖 |
●抜歯部位 |
上顎左右4番抜歯、下顎左右5番抜歯 |
●治療装置 |
ハーフリンガル矯正(クリッピー) |
●治療期間 |
24ヶ月 |
●治療費 |
トータルフィー約123万(税込) |
●副作用 |
痛み・歯根吸収・歯髄壊死 |
歯のガタガタと上の歯が出ていることを主訴として来院されました。
抜歯することにより、スペースをつくり、上の前歯を後方に移動させて口元の改善を行っています。
きれいな横顔になり、本人も満足されていました。
治療前
治療中
治療後
●主訴 |
ガタガタ、上の歯が出ている |
|---|---|
●年齢 |
20代女性 |
●症状 |
叢生を伴う上顎前突 |
●治療方針 |
抜歯空隙閉鎖 |
●抜歯部位 |
上顎左右4番抜歯 |
●治療装置 |
ハーフリガル矯正(クリッピー) |
●治療期間 |
26ヶ月 |
●治療費 |
トータルフィー約122万(税込) |
●副作用 |
痛み・歯根吸収・歯髄壊死 |
歯のガタガタと上の歯が出ていることを主訴として来院されました。
抜歯することにより、スペースをつくり、上の前歯を後方に移動させて口元の改善を行っています。
治療前
治療中
治療後
●主訴 |
ガタガタ、上の歯が出ている |
|---|---|
●年齢 |
20代女性 |
●症状 |
叢生を伴う上下顎前突 |
●治療方針 |
抜歯空隙閉鎖 |
●抜歯部位 |
右上4番抜歯・左上5番抜歯(保存不可) 下顎左右5番抜歯 |
●治療装置 |
ラビアル矯正(クリッピー) |
●治療期間 |
23ヶ月 |
●治療費 |
トータルフィー約99万(税込) |
●副作用 |
痛み・歯根吸収・歯髄壊死 |
歯のガタガタと上の歯が出ていることを主訴として来院されました。
抜歯することにより、スペースをつくり、上の前歯を後方に移動させて口元の改善を行っています。
治療前
治療中
治療後
●主訴 |
ガタガタ、上の歯が出ている |
|---|---|
●年齢 |
20代男性 |
●症状 |
叢生を伴う上下顎前突 |
●治療方針 |
抜歯空隙閉鎖 |
●抜歯部位 |
上顎左右4番抜歯 下顎左右5番抜歯 |
●治療装置 |
ラビアル矯正(クリッピー) |
●治療期間 |
22ヶ月 |
●治療費 |
トータルフィー約98万(税込) |
●副作用 |
痛み・歯根吸収・歯髄壊死 |
歯のガタガタを主訴として来院されました。
奥歯が噛み合っておらず右下7番目の歯を起こしています。
治療前
治療中
治療後
●主訴 |
ガタガタ、上の歯が出ている |
|---|---|
●年齢 |
20代女性 |
●症状 |
叢生を伴う上顎前突 |
●治療方針 |
抜歯空隙閉鎖 |
●抜歯部位 |
上顎左右4番抜歯 下顎左右5番抜歯 |
●治療装置 |
ラビアル矯正(クリッピー) |
●治療期間 |
22ヶ月 |
●治療費 |
トータルフィー約98万(税込) |
●副作用 |
痛み・歯根吸収・歯髄壊死 |
歯のガタガタと上の歯が出ていることを主訴として来院されました。
抜歯することにより、スペースをつくり、上の前歯を後方に移動させて口元の改善を行っています。
治療前
治療中
治療後
●主訴 |
ガタガタ、上の歯が出ている |
|---|---|
●年齢 |
10代女性 |
●症状 |
叢生を伴う上下顎前突 |
●治療方針 |
抜歯空隙閉鎖 |
●抜歯部位 |
上顎左右4番抜歯 下顎左右5番抜歯 |
●治療装置 |
ラビアル矯正(クリッピー) |
●治療期間 |
22ヶ月 |
●治療費 |
トータルフィー約98万(税込) |
●副作用 |
痛み・歯根吸収・歯髄壊死 |
歯のガタガタと上の歯が出ていることを主訴として来院されました。
抜歯することにより、スペースをつくり、上の前歯を後方に移動させて口元の改善を行っています。
きれいな横顔になり、本人も満足されていました。
治療前
治療中
治療後
●主訴 |
ガタガタ、上の歯が出ている |
|---|---|
●年齢 |
40代男性 |
●症状 |
叢生を伴う上顎前突 |
●治療方針 |
抜歯空隙閉鎖 |
●抜歯部位 |
上顎左右4番抜歯 右下5番抜歯 |
●治療装置 |
ラビアル矯正(クリッピー) |
●治療期間 |
34ヶ月 |
●治療費 |
トータルフィー約98万(税込) |
●副作用 |
痛み・歯根吸収・歯髄壊死 |
すきっ歯と上の歯が出ていることを主訴として来院されました。
抜歯することにより、スペースをつくり、上の前歯を後方に移動させて口元の改善を行っています。
治療前
治療中
治療後
●主訴 |
ガタガタ、上の歯が出ている |
|---|---|
●年齢 |
20代女性 |
●症状 |
叢生 |
●治療方針 |
非抜歯 |
●抜歯部位 |
非抜歯 |
●治療装置 |
ラビアル矯正(クリッピー) |
●治療期間 |
16ヶ月 |
●治療費 |
トータルフィー約98万(税込) |
●副作用 |
痛み・歯根吸収・歯髄壊死 |
歯のガタガタを主訴として来院されました。
歯と歯の間をわずかに削合(IPR)を行い歯のデコボコの改善を行っています。
治療前
治療中
治療後
●主訴 |
ガタガタ、上の歯が出ている、すきっ歯 |
|---|---|
●年齢 |
20代女性 |
●症状 |
叢生を伴う上顎前突 |
●治療方針 |
抜歯空隙閉鎖 |
●抜歯部位 |
上顎左右4番抜歯 |
●治療装置 |
ラビアル矯正(クリッピー) |
●治療期間 |
24ヶ月 |
●治療費 |
トータルフィー約98万(税込) |
●副作用 |
痛み・歯根吸収・歯髄壊死 |
歯のガタガタと上の歯が出ていることを主訴として来院されました。
抜歯することにより、スペースをつくり、上の前歯を後方に移動させて口元の改善を行った。
治療前
治療中
治療後
●主訴 |
ガタガタ、噛み合わせが深い |
|---|---|
●年齢 |
20代女性 |
●症状 |
叢生 |
●治療方針 |
上顎大臼歯遠心移動 |
●抜歯部位 |
非抜歯 |
●治療装置 |
ラビアル矯正(クリッピー) |
●治療期間 |
18ヶ月 |
●治療費 |
トータルフィー約98万(税込) |
●副作用 |
痛み・歯根吸収・歯髄壊死 |
歯のガタガタを主訴として来院されました。
上の奥歯を後ろに移動することにより、スペースをつくり、歯のデコボコの改善を行っています。
治療前
治療中
治療後
●主訴 |
ガタガタ、上の歯が出ている |
|---|---|
●年齢 |
20代男性 |
●症状 |
叢生を伴う上顎前突 |
●治療方針 |
抜歯空隙閉鎖 |
●抜歯部位 |
上顎左右4番抜歯 下顎左右5番抜歯 |
●治療装置 |
ラビアル矯正(クリッピー) |
●治療期間 |
30ヶ月 |
●治療費 |
トータルフィー約98万(税込) |
●副作用 |
痛み・歯根吸収・歯髄壊死 |
歯のガタガタと上の歯が出ていることを主訴として来院されました。
抜歯することにより、スペースをつくり、上の前歯を後方に移動させて口元の改善を行っています。
治療前
治療中
治療後
●主訴 |
ガタガタ |
|---|---|
●年齢 |
10代女性 |
●症状 |
叢生 |
●治療方針 |
抜歯空隙閉鎖 |
●抜歯部位 |
上顎左右4番抜歯 左下5番抜歯 |
●治療装置 |
ラビアル矯正(クリッピー) |
●治療期間 |
24ヶ月 |
●治療費 |
トータルフィー約98万(税込) |
●副作用 |
痛み・歯根吸収・歯髄壊死 |
歯のガタガタを主訴として来院されました。
抜歯することにより、スペースをつくり、歯のデコボコの改善を行っています。
治療前
治療中
治療後
●主訴 |
ガタガタ、上の歯が出ている |
|---|---|
●年齢 |
30代男性 |
●症状 |
叢生を伴う上顎前突 |
●治療方針 |
抜歯空隙閉鎖 |
●抜歯部位 |
上顎左右4番抜歯 |
●治療装置 |
ハーフリンガル矯正(クリッピー) |
●治療期間 |
24ヶ月 |
●治療費 |
トータルフィー約123万(税込) |
●副作用 |
痛み・歯根吸収・歯髄壊死 |
歯のガタガタと上の歯が出ていることを主訴として来院されました。
抜歯することにより、スペースをつくり、上の前歯を後方に移動させて口元の改善を行っています。
治療前
治療中
治療後
●主訴 |
すきっ歯、上の歯が出ている |
|---|---|
●年齢 |
20代女性 |
●症状 |
空隙歯列歯列症例 |
●治療方針 |
スペースクローズ |
●抜歯部位 |
非抜歯 |
●治療装置 |
ハーフリンガル矯正(クリッピー) |
●治療期間 |
18ヶ月 |
●治療費 |
トータルフィー約120万(税込) |
●副作用 |
痛み・歯根吸収・歯髄壊死 |
歯と歯の隙間と上の歯が出ていることを主訴として来院されました。
隙間を閉じることにより、上の前歯を後方に移動させて口元の改善を行っています。
治療前
治療中
治療後
●主訴 |
すきっ歯 |
|---|---|
●年齢 |
20代女性 |
●症状 |
空隙歯列症例 |
●治療方針 |
空隙閉鎖 |
●抜歯部位 |
なし |
●治療装置 |
ラビアル矯正(クリッピー) |
●治療期間 |
15ヶ月 |
●治療費 |
トータルフィー約98万(税込) |
●副作用 |
痛み・歯根吸収・歯髄壊死 |
歯のすき間を主訴として来院されました。隙間を閉じることにより口元の改善を行っております。
治療前
治療中
治療後
●主訴 |
ガタガタ、上の歯が出ている |
|---|---|
●年齢 |
20代女性 |
●症状 |
叢生を伴う上下顎前突 |
●治療方針 |
抜歯空隙閉鎖 |
●抜歯部位 |
上顎左右4番抜歯 下顎左右5番抜歯 |
●治療装置 |
ハーフリンガル矯正(クリッピー) |
●治療期間 |
25ヶ月 |
●治療費 |
トータルフィー約120万(税込) |
●副作用 |
痛み・歯根吸収・歯髄壊死 |
歯のガタガタと上の歯が出ていることを主訴として来院されました。
抜歯することにより、スペースをつくり、上の前歯を後方に移動させて口元の改善を行っています。
治療前
治療中
治療後
●主訴 |
歯の隙間、上の歯が出ている |
|---|---|
●年齢 |
20代女性 |
●症状 |
空隙を伴う上顎前突 |
●治療方針 |
抜歯空隙閉鎖 |
●抜歯部位 |
上顎左右5番抜歯 |
●治療装置 |
ラビアル矯正(クリッピー) |
●治療期間 |
22ヶ月 |
●治療費 |
トータルフィー約98万(税込) |
●副作用 |
痛み・歯根吸収・歯髄壊死 |
すきっ歯と上の歯が出ていることを主訴として来院されました。
抜歯することにより、スペースをつくり、上の前歯を後方に移動させて口元の改善を行っています。
治療前
治療中
治療後
●主訴 |
ガタガタ、上の歯が出ている |
|---|---|
●年齢 |
30代男性 |
●症状 |
叢生を伴う上顎前突 |
●治療方針 |
抜歯空隙閉鎖 |
●抜歯部位 |
上顎左右4番抜歯 |
●治療装置 |
ラビアル矯正(クリッピー) |
●治療期間 |
30ヶ月 |
●治療費 |
トータルフィー約98万(税込) |
●副作用 |
痛み・歯根吸収・歯髄壊死 |
歯のガタガタと上の歯が出ていることを主訴として来院されました。
抜歯することにより、スペースをつくり、上の前歯を後方に移動させて口元の改善を行っています。
きれいな横顔になり、本人も満足されていました。
治療前
治療中
治療後
●主訴 |
歯のでこぼこ |
|---|---|
●年齢 |
20代男性 |
●症状 |
叢生 |
●治療方針 |
抜歯空隙閉鎖 |
●抜歯部位 |
上下顎左右4番抜歯 |
●治療装置 |
ハーフリンガル矯正(クリッピー) |
●治療期間 |
24ヶ月 |
●治療費 |
トータルフィー約120万(税込) |
●副作用 |
痛み・歯根吸収・歯髄壊死 |
歯のガタガタを主訴として来院されました。
抜歯することにより、スペースをつくり、歯のガタガタの改善をおこなっています。
治療前
治療中
治療後
●主訴 |
ガタガタ、上の歯が出ている |
|---|---|
●年齢 |
20代男性 |
●症状 |
叢生を伴う上下顎前突 右下12癒合歯 |
●治療方針 |
抜歯空隙閉鎖 |
●抜歯部位 |
上顎左右4番抜歯 下顎左右5番抜歯 |
●治療装置 |
ハーフリンガル矯正(クリッピー) |
●治療期間 |
22ヶ月 |
●治療費 |
トータルフィー約120万(税込) |
●副作用 |
痛み・歯根吸収・歯髄壊死 |
歯のガタガタと口元が出ていることを主訴として来院されました。
抜歯することにより、スペースをつくり、上の前歯を後方に移動させて口元の改善を行っています。
治療前
治療中
治療後
●主訴 |
ガタガタ、上の歯が出ている |
|---|---|
●年齢 |
20代女性 |
●症状 |
叢生を伴う上顎前突 |
●治療方針 |
抜歯空隙閉鎖 |
●抜歯部位 |
上顎左右4番抜歯 |
●治療装置 |
ハーフリンガル矯正(クリッピー) |
●治療期間 |
24ヶ月 |
●治療費 |
トータルフィー約120万(税込) |
●副作用 |
痛み・歯根吸収・歯髄壊死 |
歯のガタガタと上の歯が出ていることを主訴として来院されました。
抜歯することにより、スペースをつくり、上の前歯を後方に移動させて口元の改善を行っています。
治療前
治療中
治療後
●主訴 |
ガタガタ、上の歯が出ている |
|---|---|
●年齢 |
40代女性 |
●症状 |
叢生を伴う上下顎前突 |
●治療方針 |
抜歯空隙閉鎖 |
●抜歯部位 |
右上4番・左上5番・下顎左右5番抜歯 |
●治療装置 |
ハーフリンガル矯正(クリッピー) |
●治療期間 |
22ヶ月 |
●治療費 |
トータルフィー約120万(税込) |
●副作用 |
痛み・歯根吸収・歯髄壊死 |
歯のガタガタと上の歯が出ていることを主訴として来院されました。
抜歯することにより、スペースをつくり、口元と歯のガタガタの改善を行っています。
治療前
治療中
治療後
●主訴 |
ガタガタ、上の歯が出ている |
|---|---|
●年齢 |
20代女性 |
●症状 |
叢生を伴う上顎前突 |
●治療方針 |
抜歯空隙閉鎖 |
●抜歯部位 |
上顎左右4番抜歯 |
●治療装置 |
ラビアル矯正(クリッピー) |
●治療期間 |
29ヶ月 |
●治療費 |
トータルフィー約98万(税込) |
●副作用 |
痛み・歯根吸収・歯髄壊死 |
歯のガタガタと上の歯が出ていることを主訴として来院されました。
抜歯することにより、スペースをつくり、上の前歯を後方に移動させて口元の改善を行っています。
治療前
治療中
治療後
●主訴 |
ガタガタ、上の歯が出ている |
|---|---|
●年齢 |
20代女性 |
●症状 |
叢生 |
●治療方針 |
抜歯空隙閉鎖 |
●抜歯部位 |
上下顎左右4番抜歯 |
●治療装置 |
ラビアル矯正(クリッピー) |
●治療期間 |
22ヶ月 |
●治療費 |
トータルフィー約98万(税込) |
●副作用 |
痛み・歯根吸収・歯髄壊死 |
歯のガタガタと上の歯が出ていることを主訴として来院されました。
抜歯することにより、スペースをつくり、上の前歯を後方に移動させて口元の改善を行っています。
治療前
治療中
治療後
●主訴 |
上の歯が出ている 前歯で咬めない |
|---|---|
●年齢 |
20代女性 |
●症状 |
開咬を伴う上下顎前突 |
●治療方針 |
抜歯空隙閉鎖 |
●抜歯部位 |
上下顎左右4番抜歯 |
●治療装置 |
ラビアル矯正(クリッピー) |
●治療期間 |
23ヶ月 |
●治療費 |
トータルフィー約120万(税込) |
●副作用 |
痛み・歯根吸収・歯髄壊死 |
前歯が噛めないこと上の歯が出ていることを主訴として来院されました。
抜歯することにより、スペースをつくり、上の前歯を後方に移動させて口元の改善を行っています。
開咬も改善し前歯で物が噛めるようになりました。
治療前
治療中
治療後
●主訴 |
ガタガタ |
|---|---|
●年齢 |
20代男性 |
●症状 |
叢生 |
●治療方針 |
抜歯空隙閉鎖 |
●抜歯部位 |
上下顎左右4番抜歯 |
●治療装置 |
ラビアル矯正(クリッピー) |
●治療期間 |
28ヶ月 |
●治療費 |
トータルフィー約98万(税込) |
●副作用 |
痛み・歯根吸収・歯髄壊死 |
歯のガタガタを主訴として来院されました。
抜歯することによりスペースをつくり、歯のでこぼこの改善を行っております。
治療前
治療中
治療後
●主訴 |
ガタガタ、上の歯が出ている |
|---|---|
●年齢 |
20代女性 |
●症状 |
叢生を伴う上下顎前突 |
●治療方針 |
抜歯空隙閉鎖 |
●抜歯部位 |
上下顎左右4番抜歯 |
●治療装置 |
ラビアル矯正(クリッピー) |
●治療期間 |
26ヶ月 |
●治療費 |
トータルフィー約98万(税込) |
●副作用 |
痛み・歯根吸収・歯髄壊死 |
歯のガタガタと上の歯が出ていることを主訴として来院されました。
抜歯することにより、スペースをつくり、上の前歯を後方に移動させて口元の改善を行っています。
治療前
治療中
治療後
●主訴 |
ガタガタ |
|---|---|
●年齢 |
20代女性 |
●症状 |
叢生症例 |
●治療方針 |
抜歯空隙閉鎖 |
●抜歯部位 |
上顎左右4番抜歯 下顎左右5番抜歯 |
●治療装置 |
ハーフリンガル矯正(クリッピー) |
●治療期間 |
22ヶ月 |
●治療費 |
トータルフィー約120万(税込) |
●副作用 |
痛み・歯根吸収・歯髄壊死 |
歯のガタガタと口元が出ていることを主訴として来院されました。
抜歯することにより、スペースをつくり、上の前歯を後方に移動させて口元の改善を行っています。
治療前
治療中
治療後
●主訴 |
ガタガタ |
|---|---|
●年齢 |
20代女性 |
●症状 |
叢生 |
●治療方針 |
抜歯空隙閉鎖 |
●抜歯部位 |
上顎左右4番抜歯 下顎左右5番抜歯 |
●治療装置 |
ハーフリンガル矯正(クリッピー) |
●治療期間 |
24ヶ月 |
●治療費 |
トータルフィー約128万(税込) |
●副作用 |
痛み・歯根吸収・歯髄壊死 |
歯のガタガタを主訴として来院されました。
抜歯することにより、スペースをつくり、歯並びの改善を行っています。
治療前
治療中
治療後
●主訴 |
ガタガタ、上の歯が出ている |
|---|---|
●年齢 |
30代男性 |
●症状 |
叢生を伴う上下顎前突 |
●治療方針 |
抜歯空隙閉鎖 |
●抜歯部位 |
上顎左右4番抜歯 下顎左右5番抜歯 |
●治療装置 |
ラビアル矯正(クリッピー) |
●治療期間 |
28ヶ月 |
●治療費 |
トータルフィー約98万(税込) |
●副作用 |
痛み・歯根吸収・歯髄壊死 |
歯のガタガタと上の歯が出ていることを主訴として来院されました。
抜歯することにより、スペースをつくり、上の前歯を後方に移動させて口元の改善を行っています。
治療前
治療中
治療後
●主訴 |
ガタガタ、上の歯が出ている |
|---|---|
●年齢 |
20代女性 |
●症状 |
叢生を伴う上下顎前突 |
●治療方針 |
抜歯空隙閉鎖 |
●抜歯部位 |
上顎左右4番抜歯 下顎左右5番抜歯 |
●治療装置 |
ラビアル矯正(クリッピー) |
●治療期間 |
27ヶ月 |
●治療費 |
トータルフィー約108万(税込) |
●副作用 |
痛み・歯根吸収・歯髄壊死 |
歯のガタガタと上の歯が出ていることを主訴として来院されました。
抜歯することにより、スペースをつくり、上下の前歯を後方に移動させて口元の改善を行っています。
治療前
治療中
治療後
●主訴 |
歯の隙間 |
|---|---|
●年齢 |
20代女性 |
●症状 |
シザーズバイトを伴う空隙歯列症例 |
●治療方針 |
空隙閉鎖 |
●抜歯部位 |
非抜歯 |
●治療装置 |
ハーフリンガル矯正(クリッピー) |
●治療期間 |
16ヶ月 |
●治療費 |
トータルフィー約120万(税込) |
●副作用 |
痛み・歯根吸収・歯髄壊死 |
歯と歯の間の隙間を気にされて来院されました。
右側のかみ合わせも悪く、奥歯の移動を行いかみ合わせの改善を行っています。
治療前
治療中
治療後
●主訴 |
ガタガタ、上の歯が出ている |
|---|---|
●年齢 |
20代女性 |
●症状 |
叢生を伴う上顎前突 |
●治療方針 |
抜歯空隙閉鎖 |
●抜歯部位 |
上顎左右4番抜歯・右下4番抜歯 |
●治療装置 |
ラビアル矯正(クリッピー) |
●治療期間 |
22ヶ月 |
●治療費 |
トータルフィー約98万(税込) |
●副作用 |
痛み・歯根吸収・歯髄壊死 |
歯のガタガタと上の歯が出ていることを主訴として来院されました。
抜歯することにより、スペースをつくり、上の前歯を後方に移動させて口元の改善を行っています。
治療前
治療中
治療後
●主訴 |
ガタガタ |
|---|---|
●年齢 |
20代女性 |
●症状 |
叢生 |
●治療方針 |
抜歯空隙閉鎖 |
●抜歯部位 |
上下顎左右4番抜歯 |
●治療装置 |
ハーフリンガル矯正(クリッピー) |
●治療期間 |
29ヶ月 |
●治療費 |
トータルフィー約120万(税込) |
●副作用 |
痛み・歯根吸収・歯髄壊死 |
歯のガタガタを主訴として来院されました。
抜歯することにより、スペースをつくり、歯のデコボコの改善を行っています。
治療前
治療中
治療後
●主訴 |
ガタガタ、上の歯が出ている |
|---|---|
●年齢 |
20代女性 |
●症状 |
叢生を伴う上下顎前突 |
●治療方針 |
抜歯空隙閉鎖 |
●抜歯部位 |
上顎左右4番抜歯、下顎左右5番抜歯 |
●治療装置 |
ハーフリンガル矯正(クリッピー) |
●治療期間 |
24ヶ月 |
●治療費 |
トータルフィー約120万(税込) |
●副作用 |
痛み・歯根吸収 |
歯のガタガタと上の歯が出ていることを主訴として来院されました。
抜歯することにより、スペースをつくり、上の前歯を後方に移動させて口元の改善を行っています。
治療前
治療中
治療後
●主訴 |
ガタガタ |
|---|---|
●年齢 |
20代女性 |
●症状 |
叢生 |
●治療方針 |
抜歯空隙閉鎖 |
●抜歯部位 |
上顎左右4番抜歯 下顎左右5番抜歯 |
●治療装置 |
ハーフリンガル矯正(クリッピー) |
●治療期間 |
24ヶ月 |
●治療費 |
トータルフィー約118万(税込) |
●副作用 |
痛み・歯根吸収 |
歯のガタガタを主訴として来院されました。
抜歯することにより、スペースをつくり、上の前歯を後方に移動させて口元の改善も行っています。
治療前
治療中
治療後
●主訴 |
歯と歯のすき間 |
|---|---|
●年齢 |
20代男性 |
●症状 |
左上4番欠損を伴う空隙歯列症例 |
●治療方針 |
スペース閉鎖 |
●抜歯部位 |
非抜歯 |
●治療装置 |
ラビアル矯正(クリッピー) |
●治療期間 |
22ヶ月 |
●治療費 |
トータルフィー約98万(税込) |
●副作用 |
痛み・歯根吸収・歯髄壊死 |
左上の欠損部位のすき間と前歯のすき間を主訴として来院されました。
左右のかみ合わせを均等にするために取り外しの矯正用のゴムを頑張って頂きました。
治療前
治療中
治療後
●主訴 |
前歯で咬めない、歯のすき間 |
|---|---|
●年齢 |
20代女性 |
●症状 |
開咬を伴う空隙症例 |
●治療方針 |
空隙閉鎖 舌癖トレーニング |
●抜歯部位 |
非抜歯 |
●治療装置 |
インビザライン |
●治療期間 |
18ヶ月 |
●治療費 |
トータルフィー約103万(税込) |
●副作用 |
痛み・歯根吸収 |
前歯で咬めない、歯と歯のすき間を主訴として来院されました。
歯と歯のすき間を閉じることにより、開咬の改善を行っています。
舌癖のトレーニングを頑張って頂きました。
治療前
治療中
治療後
●主訴 |
ガタガタ |
|---|---|
●年齢 |
20代女性 |
●症状 |
叢生 |
●治療方針 |
抜歯空隙閉鎖 |
●抜歯部位 |
上顎左右4番抜歯 |
●治療装置 |
ラビアル矯正(クリッピー) |
●治療期間 |
26ヶ月 |
●治療費 |
トータルフィー約98万(税込) |
●副作用 |
痛み・歯根吸収 |
歯のガタガタを主訴として来院されました。
抜歯することにより、スペースをつくり、八重歯と歯のガタガタの改善を行っています。
治療前
治療中
治療後
●主訴 |
ガタガタ |
|---|---|
●年齢 |
10代女性 |
●症状 |
叢生 |
●治療方針 |
抜歯空隙閉鎖 |
●抜歯部位 |
上顎左右4番・右下5番・左下5番抜歯 |
●治療装置 |
ラビアル矯正(クリッピー) |
●治療期間 |
26ヶ月 |
●治療費 |
トータルフィー約98万(税込) |
●副作用 |
痛み・歯根吸収 |
歯のガタガタを主訴として来院されました。
抜歯することにより、歯を並べるスペースをつくり、上下の歯のデコボコを改善し、歯並びを整えています。
治療前
治療中
治療後
●主訴 |
ガタガタ、八重歯 |
|---|---|
●年齢 |
10代女性 |
●症状 |
左下2番の欠損を伴う叢生症例 |
●治療方針 |
抜歯空隙閉鎖 |
●抜歯部位 |
上顎左4番抜歯 |
●治療装置 |
ラビアル矯正(クリッピー)、カリエール |
●治療期間 |
23ヶ月 |
●治療費 |
トータルフィー約98万(税込) |
●副作用 |
痛み・歯根吸収 |
歯のガタガタと八重歯が気になるということで来院されました
抜歯することと奥歯を後方移動させることにより、スペースをつくり、八重歯の改善を行っています。
治療前
治療中
治療後
●主訴 |
ガタガタ、上の歯が出ている |
|---|---|
●年齢 |
20代女性 |
●症状 |
叢生を伴う上顎前突 |
●治療方針 |
抜歯空隙閉鎖 |
●抜歯部位 |
上顎左右4番抜歯、下顎左右5番抜歯 |
●治療装置 |
ハーフリンガル矯正(クリッピー) |
●治療期間 |
22ヶ月 |
●治療費 |
トータルフィー約120万(税込) |
●副作用 |
痛み・歯根吸収 |
歯のデコボコと上の歯が出ていることを主訴として来院されました。
抜歯することにより、スペースをつくり、上の前歯を後方に移動させて口元の改善を行っています。
きれいな横顔になり、本人も満足されていました。
治療前
治療中
治療後
●主訴 |
ガタガタ、上の歯が出ている |
|---|---|
●年齢 |
20代女性 |
●症状 |
叢生を伴う上下顎前突 |
●治療方針 |
抜歯空隙閉鎖 |
●抜歯部位 |
上顎左右4番抜歯 |
●治療装置 |
ラビアル矯正(クリッピー) |
●治療期間 |
28ヶ月 |
●治療費 |
トータルフィー約98万(税込) |
●副作用 |
痛み・歯根吸収 |
歯のガタガタと上の歯が出ていることを主訴として来院されました。
抜歯することにより、スペースをつくり、上の前歯を後方に移動させて口元の改善を行っています。
きれいな横顔になり、本人も満足されていました。
治療前
治療中
治療後
●主訴 |
上の歯が出ている、すきっ歯 |
|---|---|
●年齢 |
20代女性 |
●症状 |
上下顎前突症例 |
●治療方針 |
抜歯空隙閉鎖 |
●抜歯部位 |
上顎左右4番抜歯 下顎左右E(乳歯抜歯) |
●治療装置 |
ハーフリンガル矯正(クリッピー) |
●治療期間 |
28ヶ月 |
●治療費 |
トータルフィー約120万(税込) |
●副作用 |
痛み・歯根吸収 |
歯のすき間と上の歯が出ていることを主訴として来院されました。
下の歯の残っている乳歯と上の永久歯を抜歯することにより、スペースをつくり、上の前歯を後方に移動させて口元の改善を行ない、理想的な横顔になりました。
治療前
治療中
治療後
●主訴 |
ガタガタ、上の歯が出ている |
|---|---|
●年齢 |
20代女性 |
●症状 |
叢生を伴う上顎前突 |
●治療方針 |
抜歯空隙閉鎖 |
●抜歯部位 |
上顎左右4番抜歯 |
●治療装置 |
ラビアル矯正(クリッピー) |
●治療期間 |
24ヶ月 |
●治療費 |
トータルフィー約98万(税込) |
●副作用 |
痛み・歯根吸収 |
歯のガタガタと上の歯が出ていることを主訴として来院されました。
抜歯することにより、スペースをつくり、上の前歯を後方に移動させて口元の改善を行っています。
治療前
治療中
治療後
●主訴 |
歯のでこぼこ |
|---|---|
●年齢 |
20代女性 |
●症状 |
叢生を伴う上顎前突 |
●治療方針 |
抜歯空隙閉鎖 |
●抜歯部位 |
上顎左右4番抜歯 |
●治療装置 |
ラビアル矯正(クリッピー) |
●治療期間 |
22ヶ月 |
●治療費 |
トータルフィー約105万(税込) |
●副作用 |
痛み・歯根吸収 |
歯のでこぼこを主訴として来院されました。
抜歯をして、スペースをつくり、歯のでこぼこの改善を行っています。
上の前歯の後方移動も行い、口元が改善し、理想的な横顔ラインになっています。
治療前
治療中
治療後
●主訴 |
ガタガタ |
|---|---|
●年齢 |
20代女性 |
●症状 |
叢生 |
●治療方針 |
抜歯空隙閉鎖 |
●抜歯部位 |
上顎左右4番抜歯 |
●治療装置 |
ラビアル矯正(クリッピー) |
●治療期間 |
25ヶ月 |
●治療費 |
トータルフィー約98万(税込) |
●副作用 |
痛み・歯根吸収 |
歯のガタガタと左の奥歯の咬み合わせが悪いことを気にされ来院されました。
抜歯することにより、スペースをつくり歯のガタガタを改善し、左の上の奥歯を内側に入れることにより奥歯の咬み合わせの治療を行っています。
治療前
治療中
治療後
●主訴 |
ガタガタ、八重歯 |
|---|---|
●年齢 |
20代女性 |
●症状 |
叢生 |
●治療方針 |
抜歯空隙閉鎖 |
●抜歯部位 |
上顎左右4番抜歯 |
●治療装置 |
ラビアル矯正(クリッピー) |
●治療期間 |
23ヶ月 |
●治療費 |
トータルフィー約98万(税込) |
●副作用 |
痛み・歯根吸収 |
歯のガタガタと八重歯を主訴として来院されました。
抜歯することにより、スペースをつくり、八重歯と歯のガタガタの改善を行いました
きれいな歯並びになり、本人も満足されていました。
治療前
治療中
治療後
●主訴 |
ガタガタ、口元が出ている |
|---|---|
●年齢 |
20代女性 |
●症状 |
叢生を伴う上下顎前突 |
●治療方針 |
抜歯空隙閉鎖 |
●抜歯部位 |
上下顎左右4番抜歯 |
●治療装置 |
ラビアル矯正(クリッピー) |
●治療期間 |
26ヶ月 |
●治療費 |
トータルフィー約98万(税込) |
●副作用 |
痛み・歯根吸収 |
歯の凸凹と口元が出ていることを主訴として来院されました。
抜歯することにより、スペースをつくり、上下の前歯を後方に移動させて口元の改善を行っています。
治療前
治療中
治療後
●主訴 |
ガタガタ、上の歯が出ている |
|---|---|
●年齢 |
20代女性 |
●症状 |
叢生を伴う上顎前突 |
●治療方針 |
抜歯空隙閉鎖 |
●抜歯部位 |
上顎左右4番抜歯 |
●治療装置 |
ラビアル矯正(クリッピー) |
●治療期間 |
26ヶ月 |
●治療費 |
トータルフィー約98万(税込) |
●副作用 |
痛み・歯根吸収 |
歯のガタガタと上の歯が出ていることを主訴として来院されました。
抜歯することによりスペースをつくり、歯の凸凹の改善と上の前歯を後方に移動させて口元の改善を行っています。
治療前
治療中
治療後
●主訴 |
ガタガタ、上の歯が出ている |
|---|---|
●年齢 |
20代女性 |
●症状 |
叢生を伴う上顎前突 |
●治療方針 |
抜歯空隙閉鎖 |
●抜歯部位 |
上顎左右4番抜歯 右下5番抜歯 |
●治療装置 |
ハーフリンガル矯正(クリッピー) |
●治療期間 |
24ヶ月 |
●治療費 |
トータルフィー約120万(税込) |
●副作用 |
痛み・歯根吸収 |
歯のガタガタと上の歯が出ていることを主訴として来院されました。
抜歯することにより、スペースをつくり、上の前歯を後方に移動させて口元の改善を行ない、凸凹していた歯並びを改善しています。
治療前
治療中
治療後
●主訴 |
ガタガタ、口元が出ている |
|---|---|
●年齢 |
20代女性 |
●症状 |
叢生を伴う上下顎前突 |
●治療方針 |
抜歯空隙閉鎖 |
●抜歯部位 |
上顎4番下顎5番抜歯 |
●治療装置 |
ハーフリンガル矯正(クリッピー) |
●治療期間 |
26ヶ月 |
●治療費 |
トータルフィー約120万(税込) |
●副作用 |
痛み・歯根吸収 |
歯のガタガタと上の歯が出ていることを主訴として来院されました。
抜歯することにより、スペースをつくり、上の前歯を後方に移動させて口元の改善を行っています。
治療前
治療中
治療後
●主訴 |
開咬、上の歯が出ている |
|---|---|
●年齢 |
10代女性 |
●症状 |
開咬を伴う上顎前突 |
●治療方針 |
抜歯空隙閉鎖 |
●抜歯部位 |
上顎左右4番抜歯 |
●治療装置 |
ラビアル矯正(クリッピー) |
●治療期間 |
26ヶ月 |
●治療費 |
トータルフィー約108万(税込) |
●副作用 |
痛み・歯根吸収 |
前歯で物が噛めないこと、上の歯が出ていることを主訴として来院されました。
抜歯することにより、スペースをつくり、上の前歯を後方に移動させて口元の改善を行っています。
舌を上方に挙上する訓練(MFT)を積極的にして頂き、協力度が高かったので予定通りの治療期間で治療することができました。
治療前
治療中
治療後
●主訴 |
ガタガタ、前歯のすきっ歯 |
|---|---|
●年齢 |
10代男性 |
●症状 |
叢生を伴う空隙歯列 |
●治療方針 |
非抜歯による排列 |
●抜歯部位 |
非抜歯 |
●治療装置 |
ラビアル矯正(クリッピー) |
●治療期間 |
16ヶ月 |
●治療費 |
トータルフィー約98万(税込) |
●副作用 |
痛み・歯根吸収 |
上の前歯のすき間と歯のガタガタを主訴に来院されました。
口元に問題がなく、非抜歯で上の歯にある隙間を閉じて、下の歯のガタガタを治療しています。
治療前
治療中
治療後
●主訴 |
すきっ歯 |
|---|---|
●年齢 |
20代男性 |
●症状 |
叢生を伴う空隙歯列 |
●治療方針 |
非抜歯、スペース閉鎖 |
●抜歯部位 |
非抜歯 |
●治療装置 |
ラビアル矯正(クリッピー) |
●治療期間 |
14ヶ月 |
●治療費 |
トータルフィー約83万(税込) |
●副作用 |
痛み・歯根吸収 |
歯のガタガタと上の歯のすき間を主訴に来院されました。
歯のガタガタと上の歯のスペースを行い、良好なかみ合わせを獲得できました。
治療前
治療中
治療後
●主訴 |
ガタガタ |
|---|---|
●年齢 |
20代女性 |
●症状 |
右上2欠損を伴う叢生 |
●治療方針 |
抜歯空隙閉鎖 |
●抜歯部位 |
左上4番抜歯、下顎左右4番抜歯 |
●治療装置 |
ラビアル矯正(クリッピー) |
●治療期間 |
28ヶ月 |
●治療費 |
トータルフィー約98万(税込) |
●副作用 |
痛み・歯根吸収 |
歯のでこぼこを主訴として来院されました。右上2番目の歯が欠損しているケースです。
抜歯することにより、スペースをつくり、歯のでこぼこの改善を行っています。
治療前
治療中
治療後
●主訴 |
ガタガタ、口元が出ている |
|---|---|
●年齢 |
10代男性 |
●症状 |
叢生を伴う上下顎前突症例 |
●治療方針 |
抜歯空隙閉鎖 |
●抜歯部位 |
上顎左右4番抜歯 |
●治療装置 |
ハーフリンガル矯正(クリッピー) |
●治療期間 |
22ヶ月 |
●治療費 |
トータルフィー約120万(税込) |
●副作用 |
痛み・歯根吸収 |
歯のガタガタと口元が出ていることを主訴として来院されました。
抜歯して歯の排列をするためのスペースをつくり、歯のでこぼこの改善及び、上下の前歯を後方に移動させて口元の改善を行っています。
歯の動きもスムーズで治療期間は2年間かからずに治療を終えることが出来ました。
治療前
治療中
治療後
●主訴 |
ガタガタ、上の歯が出ている |
|---|---|
●年齢 |
20代女性 |
●症状 |
叢生を伴う上顎前突 |
●治療方針 |
抜歯空隙閉鎖 |
●抜歯部位 |
左上第1小臼歯、下顎左右第1小臼歯 |
●治療装置 |
ハーフリンガル矯正(クリッピー) |
●治療期間 |
21ヶ月 |
●治療費 |
トータルフィー約120万(税込) |
●副作用 |
痛み・歯根吸収 |
歯のガタガタと上の歯が出ていることを主訴として来院されました。
右上の2番目の歯が先天的に欠損している症例です。
抜歯することにより、スペースをつくり、上の前歯を後方に移動させて口元の改善を行っています。
治療前
治療中
治療後
●主訴 |
ガタガタ、上の歯が出ている |
|---|---|
●年齢 |
10代女性 |
●症状 |
叢生を伴う上顎前突 |
●治療方針 |
抜歯空隙閉鎖 |
●抜歯部位 |
上下左右第2小臼歯抜歯 |
●治療装置 |
ハーフリンガル矯正(クリッピー) |
●治療期間 |
20ヶ月 |
●治療費 |
トータルフィー約118万(税込) |
●副作用 |
痛み・歯根吸収 |
歯のガタガタと口元が出ていることを主訴として来院されました。虫歯治療をしている左上第2小臼歯の抜歯を希望され、治療計画を立案しました。第2小臼歯抜歯を行った場合、治療期間が延びることが多いのですが、予定通りの期間で治療を終えることができました。
治療前
治療中
治療後
●主訴 |
ガタガタ、上の歯が出ている |
|---|---|
●年齢 |
20代女性 |
●症状 |
叢生を伴う上顎前突 |
●治療方針 |
抜歯空隙閉鎖 |
●抜歯部位 |
上顎左右4番抜歯 |
●治療装置 |
ラビアル矯正(クリッピー) |
●治療期間 |
22ヶ月 |
●治療費 |
トータルフィー約98万(税込) |
●副作用 |
痛み・歯根吸収 |
歯のガタガタと上の歯が出ていることを主訴として来院されました。
抜歯することにより、スペースをつくり、上の前歯を後方に移動させて口元の改善を行っています。
きれいな横顔になり、本人も満足されていました。
治療前
治療中
治療後
●主訴 |
口元が出ている |
|---|---|
●年齢 |
高校生・女性 |
●症状 |
上下顎前突、叢生 |
●治療方針 |
抜歯空隙閉鎖 |
●抜歯部位 |
上下第2小臼歯 |
●治療装置 |
クリッピー(ハーフリンガル) |
●治療期間 |
26ヶ月 |
●治療費 |
トータルフィー約118万(税込) |
●副作用 |
痛み・歯根吸収 |
抜歯することによりスペースをつくり、歯のでこぼこ、口元の改善を行いました。大学受験により、半年程通院ができない期間があり治療期間が予想より長くなりましたが、きれいな横顔を達成しました。
治療前
治療中
治療後
●主訴 |
八重歯・歯のでこぼこ |
|---|---|
●年齢 |
20代女性 |
●症状 |
叢生 |
●治療方針 |
抜歯空隙閉鎖・排列 |
●抜歯部位 |
上顎左右第2小臼歯、下顎右側第1小臼歯、下顎左側第2小臼歯 |
●治療装置 |
クリッピー(ハーフリンガル) |
●治療期間 |
28ヶ月 |
●治療費 |
トータルフィー約118万(税込) |
●副作用 |
痛み・歯根吸収 |
患者さまのご希望もあり、虫歯治療している上顎第2小臼歯の抜歯を行い治療を行いました。その結果、矯正治療後の口腔内は虫歯治療している歯が1本のみとなり審美面でも大きく改善がみられました。
治療前
治療中
治療後
●主訴 |
すきっ歯 |
|---|---|
●年齢 |
10代女性 |
●症状 |
空隙歯列 |
●治療方針 |
正中離開閉鎖・排列 |
●抜歯部位 |
非抜歯 |
●治療装置 |
クリッピー(ハーフリンガル) |
●治療期間 |
17ヶ月 |
●治療費 |
トータルフィー約109万(税込) |
●副作用 |
痛み・歯根吸収 |
上の前歯のすき間と下の歯のでこぼこを主訴として来院されました。元々の横顔のバランスはとれていたので非抜歯で治療を行いました。
治療前
治療中
治療後
●主訴 |
歯のでこぼこ・口元が出ている |
|---|---|
●年齢 |
20代女性 |
●症状 |
上下顎前突、叢生 |
●治療方針 |
抜歯・抜歯空隙閉鎖・排列 |
●抜歯部位 |
上下第2小臼歯 |
●治療装置 |
クリッピー(ハーフリンガル) |
●治療期間 |
25ヶ月 |
●治療費 |
トータルフィー約118万(税込) |
●副作用 |
痛み・歯根吸収 |
接客業をされているということでハーフリンガル希望で治療を行いました。上顎第2小臼歯の歯根の湾曲が強く第2小臼歯の抜歯を行い、抜歯スペースをクローズすることで口元の改善を行いました。
治療前
治療中
治療後
●主訴 |
八重歯 |
|---|---|
●年齢 |
20代女性 |
●症状 |
叢生 |
●治療方針 |
抜歯・排列 |
●抜歯部位 |
上顎第2小臼歯 |
●治療装置 |
クリッピー(ハーフリンガル) |
●治療期間 |
24ヶ月 |
●治療費 |
トータルフィー約118万(税込) |
●副作用 |
痛み・歯根吸収 |
上顎片側に八重歯があり、正中線も大きくずれています。
上顎の左右小臼歯部を抜歯することにより、歯を配列するためのスペースを八重歯の改善と正中線の一致を行いました。
治療前
治療中
治療後
●主訴 |
歯のでこぼこ |
|---|---|
●年齢 |
20代女性 |
●症状 |
叢生 |
●治療方針 |
非抜歯・ストリッピング |
●抜歯部位 |
非抜歯 |
●治療装置 |
クリッピー(ハーフリンガル) |
●治療期間 |
22ヶ月 |
●治療費 |
トータルフィー約109万(税込) |
●副作用 |
痛み・歯根吸収 |
口元に問題はなく、歯のでこぼこを主訴として来院されました。
スペースがないため、ストリッピングを行い非抜歯にて治療を行いました。
きれいな口元を維持したまま、叢生の改善を達成しました。
治療前
治療中
治療後
●主訴 |
歯のでこぼこ・口元が出ている |
|---|---|
●年齢 |
女性 |
●症状 |
上下顎前突、叢生 |
●治療方針 |
抜歯空隙閉鎖 |
●抜歯部位 |
上顎左右第1小臼歯・下顎左側第2小臼歯 |
●治療装置 |
クリッピー(ハーフリンガル) |
●治療期間 |
20ヶ月 |
●治療費 |
トータルフィー約118万(税込) |
●副作用 |
痛み・歯根吸収 |
他院で非抜歯で矯正治療を行いましたが、叢生と口元の突出感を主訴に来院されました。正中のずれも大きいため、上顎は左右の小臼歯抜歯、下顎は左側のみ小臼歯抜歯を行いました。
抜歯スペースの閉鎖を行うことにより、口元の改善と正中線の一致が達成されました。
治療前
治療中
治療後
●主訴 |
上の前歯が出ている |
|---|---|
●年齢 |
10代女性(中学生) |
●症状 |
下顎後退を伴う上顎前突 |
●治療方針 |
機能的矯正装置による下顎骨のアドバンス・非抜歯 |
●抜歯部位 |
非抜歯 |
●治療装置 |
フレンケル・カリエール・クリッピー(ラビアル) |
●治療期間 |
28ヶ月 |
●治療費 |
トータルフィー約98万(税込) |
●副作用 |
痛み・歯根吸収 |
成長期であり、下顎骨の後退が見られたので機能的矯正装置により下顎骨の成長促進を行い、その後、カリエールにより上顎の奥歯(第1大臼歯)を後方に移動させ、上顎の前歯を後方に移動させました。
協力度も高かったので、非抜歯により、口元の後退が達成できた症例です。
治療前
治療中
治療後
●主訴 |
八重歯 |
|---|---|
●年齢 |
20代女性 |
●症状 |
叢生 |
●治療方針 |
抜歯・空隙閉鎖 |
●抜歯部位 |
上第1小臼歯 |
●治療装置 |
クリッピー(ハーフリンガル) |
●治療期間 |
25ヶ月 |
●治療費 |
トータルフィー約118万(税込) |
●副作用 |
痛み・歯根吸収 |
他院で上顎第1小臼歯を抜歯され、ハーフリンガルを希望ということで当院に転医されました。矯正用の顎間ゴムの協力度も高く、予定通りの治療期間で治療を終えることができました。
治療前
治療中
治療後
●主訴 |
前歯で咬めない |
|---|---|
●年齢 |
女性 |
●症状 |
開咬、叢生 |
●治療方針 |
非抜歯・IPR |
●抜歯部位 |
非抜歯 |
●治療装置 |
クリッピー(ラビアル) |
●治療期間 |
26ヶ月 |
●治療費 |
トータルフィー約98万(税込) |
●副作用 |
痛み・歯根吸収 |
前歯で噛めない、受け口を主訴として来院されました。矯正用のエラスティックの協力度が高く、開咬の改善が達成できました。
治療前
治療中
治療後
●主訴 |
歯のでこぼこ |
|---|---|
●年齢 |
10代男性 |
●症状 |
叢生 |
●治療方針 |
抜歯・空隙閉鎖 |
●抜歯部位 |
上下第2小臼歯 |
●治療装置 |
クリッピー(ラビアル) |
●治療期間 |
28ヶ月 |
●治療費 |
トータルフィー約98万(税込) |
●副作用 |
痛み・歯根吸収 |
歯のでこぼこを主訴として来院されました。抜歯して歯の排列を行うためのスペースを確保して、内側に入っている左上の2番目の歯を前方に移動させ改善を行いました。
治療前
治療中
治療後
●主訴 |
上の歯が出ている・歯のでこぼこ |
|---|---|
●年齢 |
中学生女性 |
●症状 |
上顎前突、叢生 |
●治療方針 |
抜歯・空隙閉鎖 |
●抜歯部位 |
上下第2小臼歯 |
●治療装置 |
クリッピー(ハーフリンガル) |
●治療期間 |
30ヶ月 |
●治療費 |
トータルフィー約118万(税込) |
●副作用 |
痛み・歯根吸収 |
歯のでこぼこと上の歯が出ていることを主訴として矯正治療を開始しました。
抜歯したスペースを閉鎖することで、上の前歯を引っ込めることと歯のでこぼこを改善を行いました。矯正用エラスティックの協力度も高かったため、口もとも大きく改善しました。
治療前
治療中
治療後
●主訴 |
歯のでこぼこ(叢生) |
|---|---|
●年齢 |
20代男性 |
●症状 |
叢生 |
●治療方針 |
抜歯・空隙閉鎖 |
●抜歯部位 |
右下第1小臼歯・左側上下第2小臼歯 |
●治療装置 |
クリッピー(リンガル) |
●治療期間 |
24ヶ月 |
●治療費 |
トータルフィー約138万(税込) |
●副作用 |
痛み・歯根吸収 |
一般歯科で、虫歯治療のため右上2番目の歯を抜歯されています。歯のでこぼこと下の歯が出ていることを主訴として矯正治療を開始しました。
抜歯したスペースを閉鎖することで、下の前歯を引っ込めることと歯のでこぼこを改善を行いました。気にされていた矯正治療前の噛みづらいさも改善されました。
治療前
治療中
治療後
●主訴 |
歯のでこぼこ |
|---|---|
●年齢 |
20代女性 |
●症状 |
叢生 |
●治療方針 |
非抜歯・IPR |
●抜歯部位 |
非抜歯 |
●治療装置 |
クリッピー(リンガル) |
●治療期間 |
18ヶ月 |
●治療費 |
トータルフィー約128万(税込) |
●副作用 |
痛み・歯根吸収 |
過去に矯正治療を行い、後戻りを主訴として来院されました。患者さんの矯正用のエラスティックの協力度も高く、受け口の傾向と叢生の改善が達成できました。
治療前
治療中
治療後
●主訴 |
八重歯 |
|---|---|
●年齢 |
20代男性 |
●症状 |
叢生 |
●治療方針 |
抜歯・空隙閉鎖 |
●抜歯部位 |
上顎第1小臼歯 |
●治療装置 |
クリッピー(ラビアル) |
●治療期間 |
20ヶ月 |
●治療費 |
トータルフィー約98万(税込) |
●副作用 |
痛み・歯根吸収 |
八重歯が気になるということで来院され、抜歯をしてスペースをつくることにより排列を行いました。犬歯を下ろすための矯正用のエラスティックの協力度も高く、八重歯の改善ができました。
治療前
治療中
治療後
●主訴 |
歯のでこぼこ |
|---|---|
●年齢 |
20代女性 |
●症状 |
叢生・上の歯が出ている |
●治療方針 |
抜歯・空隙閉鎖 |
●抜歯部位 |
上下顎第2小臼歯 |
●治療装置 |
クリッピー(ハーフリンガル) |
●治療期間 |
24ヶ月 |
●治療費 |
トータルフィー約120万(税込) |
●副作用 |
痛み・歯根吸収 |
歯のでこぼこ、口元を引っ込ませたいということで来院されました。
抜歯することにより、スペースを作り、上の前歯を後方に移動させ口元の改善を行いました。
治療前
治療中
治療後
●主訴 |
歯のでこぼこ、口元が出ている |
|---|---|
●年齢 |
20代女性 |
●症状 |
叢生を伴う上下顎前突 |
●治療方針 |
抜歯・空隙閉鎖 |
●抜歯部位 |
上下顎第1小臼歯 |
●治療装置 |
クリッピー(ハーフリンガル) |
●治療期間 |
22ヶ月 |
●治療費 |
トータルフィー約120万(税込) |
●副作用 |
痛み・歯根吸収 |
歯のでこぼこ、口元が出ているということで来院されました。
抜歯することにより、スペースを作り、歯のでこぼこの改善と上の前歯を後方に移動させ口元の改善を行いました。矯正用のエラスティックの協力度が高く、理想的な横顔になりました。
親知らずの排列も達成できた症例です。
当院では初診矯正相談を無料で行っております。
歯列矯正治療に興味のある方は、お気軽にご利用ください。まだ、治療を始めるかどうか決めていない方でも不安や疑問をご相談ください。